近日,一名72岁女性患者到我院就诊。患者自述左侧乳头溢液2年,期间左乳头持续红肿、出血,无明显疼痛;既往有5年糖尿病病史。查体可见患者一般情况良好,左侧乳头充血、糜烂,伴血性渗出。

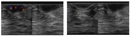
超声检查提示“考虑乳腺Paget病(乳腺湿疹样癌)可能”,术后病理结果确诊为(左侧)乳腺Paget病(乳腺湿疹样癌)。

据介绍,乳腺Paget病(乳腺湿疹样癌)是乳腺癌的少见类型,在我国的发病高峰多集中于40-60岁。该病早期表现为乳头乳晕区湿疹样改变,典型症状包括乳头乳晕区糜烂、渗液、反复结痂,常伴随湿疹、脱皮、红斑、乳头侵蚀、溃疡形成、乳头内陷及血性溢液等,近50%患者可触及乳房肿块。

特别提醒:若出现乳头或乳晕反复瘙痒、脱皮、溢液等症状,务必及时就医检查。超声检查对致密型乳腺组织穿透力较强,可通过彩色多普勒显示血流信息,借助弹性成像判断肿块硬度,诊断可信度较高;超声引导下穿刺活检及超声增强造影,能进一步提升诊断准确性。