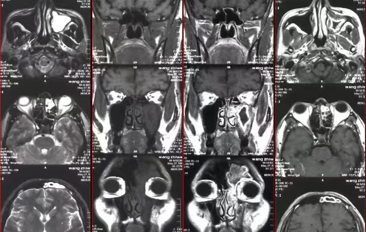
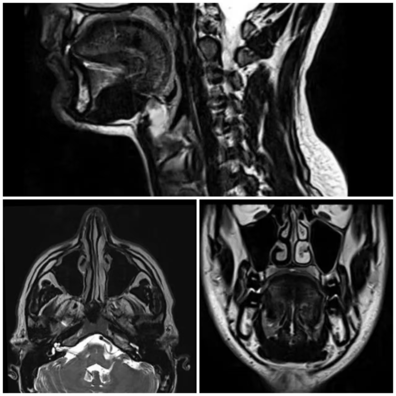
鼻塞流涕反复不愈、鼻窦不适病因不明?鼻窦磁共振(MRI)检查凭借独特优势,为鼻窦疾病精准诊断提供有力支撑,助力临床制定科学治疗方案。
相较于其他影像学检查,鼻窦MRI在临床应用中优势显著,具体如下:
1. 无电离辐射,适用人群更广
与CT的X射线成像不同,MRI依托磁场与无线电波生成影像,无电离辐射、无辐射损伤。这一特性使其更适用于儿童、孕妇等特殊人群,也可满足多次复查需求,规避辐射累积风险,提升检查安全性。

2. 软组织分辨力佳,病变识别更精准
鼻窦解剖结构复杂,软组织交织分布。MRI对软组织分辨力强,能清晰区分黏膜炎性水肿、息肉样增生与正常组织,对早期病变及微小息肉的检出效果优于部分传统检查。在良恶性肿瘤鉴别中,可清晰显示肿瘤大小、形态及侵犯范围,为肿瘤分期和治疗方案制定提供关键依据。

3. 多方位成像,全面覆盖病变范围
MRI可实现轴位、冠状位、矢状位多平面成像,从多角度完整呈现鼻窦结构及病变,弥补单一视角局限,降低漏诊风险。对鼻窦深部隐匿炎症及向颅内、眼眶侵犯的病变,能清晰明确累及范围,提供全面诊断信息。

4. 对液体信号敏感,助力疗效监测与术后评估
MRI对液体信号敏感度高,能准确判断鼻窦炎症伴随的积液、积脓性质与范围,为评估炎症程度提供依据。术后复查时,可清晰区分瘢痕组织与复发病变,助力疗效评估及后续治疗方案调整。

5. 增强扫描辅助,提升鉴别诊断准确性
增强MRI检查进一步提升了诊断效能。通过静脉注射造影剂,可强化病变与正常组织的信号对比,帮助医生精准判断病变血供情况,为鉴别病变性质、提高诊断准确率提供支撑。

鼻窦健康关乎全身,精准诊断是有效治疗的前提。鼻窦MRI以安全、精准、全面的优势,成为鼻窦疾病诊断的重要影像学手段,为鼻腔健康保驾护航。